Do Vitamin And Mineral Supplements Help With Mental Health?
A new large-scale Australian study has found that certain nutritional supplements may help with some mental health conditions when used…
Browse the latest news on alternative treatments and medicines.
A new large-scale Australian study has found that certain nutritional supplements may help with some mental health conditions when used…
Some people experience symptoms that may include stomach upset, bloating, fatigue, and headache during their periods. Physical exercise may help…
Women who are pregnant, breastfeeding or trying to conceive need more of certain vitamins and minerals than other people, especially…
People with psoriasis have several treatment options, including biologic drugs, topicals, and light therapy. But many individuals who have the…
The New Zealand Health and Disability Commissioner (HDC) has admonished an acupuncturist for going too deep, way too deep. According…
Fish-oil supplements, which have gotten some credit for helping prevent everything from memory loss to heart disease, are coming under…
There are only two vitamins that can be produced by our body. Vitamin D is made in our skin when…
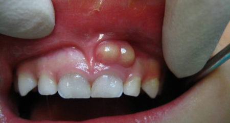
Gum boils, also known as abscesses, appear like small swollen bump inside the mouth and may cause pain. They occur…
According to preliminary research presented at the annual meeting for the Society for the Study of Ingestive Behavior in Utrecht,…
A migraine can be debilitating, but you shouldn’t have to put up with it affecting your daily life – which…